診療案内
- HOME
- 診療案内
診療動物
犬・猫
診療時間
| 診療時間 | 月 | 火 | 水 | 木 | 金 | 土 | 日 | 祝 |
|---|---|---|---|---|---|---|---|---|
| 09:00~12:00 | ○ | ○ | ○ | 休 | ○ | ○ | ○ | 休 |
| 16:00~19:00 | ○ | ○ | ○ | 休 | ○ | ○ | 休 | 休 |
休診日 木曜日・祝日、日曜午後
※当院は犬猫専門の病院になります。
※診療時間以外の時間帯は、時間外診療となります。時間に応じて時間外料金がかかりますのでご了承ください。
※混雑緩和のため、予約制の優先診療枠を設置しています。ご来院の際は、一度お電話ください。
詳しくはinformationの「予約制導入のお知らせ」をご覧ください。
時間外診療は当院にカルテがある方のみを診療しております。
お電話いただき、留守番電話にカルテ番号・お名前・電話番号・ペットの状態をお話ください。折り返しご連絡差し上げます。
夜間の救急に関しましては、ひがし東京夜間救急動物医療センターと提携しております。
また、高度医療が必要な場合は、大学病院および専門施設(日本動物高度医療センターなど)への紹介を行っていますのでご相談ください。
診療科目
診療にはオーナーの方からの問診がとても大切です。
言葉が喋れないペットの代わりに詳しく症状をお伺いします。
この問診から多くの情報を得てその後の診療・検査・治療を組み立てていきます。
したがってオーナー様の日頃の観察やお手入れがペットの健康を左右する重要なポイントとなります。以下、各科のポイントを挙げていきます。
内科・外科/腫瘍科/眼科/皮膚科/心臓循環器科/泌尿器科/消化器科/歯科
など、幅広い診療を行っています。
また、健康診断のコースもご用意しております。
様々な症状の対応が可能です。お困りの際はまずはお尋ねください。
健康診断

ペットは、人間と比べて4~5倍のスピードで年をとっていきます。でも、悪いところがあっても言葉で伝えることが出来ません。特に慢性の病気やがんなどは、初期のうちは無症状で進行することがほとんどで、症状が出た時には残念ながらかなり進行していることも少なくありません。
病気を早期発見するためにも、7歳までの子は年1回、7歳以上の子は半年に1回の定期健診をおススメいたします。
当院では、健康診断に3つのコースをご用意しています。
詳しくは、病院にお問い合わせ頂くか、下のリンクからパンフレットをご覧ください。
内科・外科

問診・聴診・視診の後、必要に応じて最新の検査機器を用いて病気の原因を探っていきます。
オーナー様への説明を充分にし、納得の上で治療を進めていきます。
骨折などの整形外科手術も行っております。
入院施設は犬用・猫用を別々に設け、入院時のストレスを極力与えないよう配慮しています。
腫瘍科

予防の徹底や管理が良くなったことから動物が長生きできるようになり、高齢の犬や猫が増えてきました。このため近年腫瘍の発生が多くなってきています。
腫瘍といっても良性のイボから悪性の腫瘍まで病態は様々で、外科的な切除で完治するものから、抗がん剤を使って治療するものもあります。
たとえ悪性の腫瘍であっても、痛みを取ってあげたり、食欲が出るような治療をしてあげることで快適な余生を送ることもできます。
眼科

眼は非常にデリケートな組織ですので、何か異常を見つけたら様子を見すぎたりせず早めに来院してください。
角膜疾患、白内障や緑内障など早期の治療が病気の回復に大きく影響することがあります。
皮膚科

消化器の病気と並んで、とても多い病気です。細菌・ウイルス・寄生虫の感染が原因になることはもちろんですが、意外に多いのが不適切な管理によるものです。
たとえば、シャンプーが合わなかったり、ノミ取り首輪にかぶれたり、ブラッシングをしなかったり日々の手入れの悪さからなることが多いものです。
日頃のお手入れについてもご相談ください。
また、アレルギーは痒みが強く出るため見ているのがつらい病気です。
アレルギー検査を行い、除去食や抗アレルギー薬、体質の改善、環境の改善などを組み合わせて症状を緩和する治療を行います。
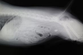
心臓循環器科

特に中~高齢の小型犬に発生が多いのが慢性心不全です。
何となく元気がない、食欲不振などはっきりしない症状から、病気が進行すると咳が出たり呼吸が苦しそうになったりします。
聴診器で心臓の雑音を調べたり、レントゲン検査で心臓の形態や肺の状態を確認したりします。
さらに超音波エコー検査では、カラードップラーを使い弁の動きや血液の流れから病気の進行の程度を把握します。病態にあった治療を選択していきます。
泌尿器科

中~高齢の猫で見られる病気に慢性の腎不全があります。
炎症や腫瘍、細菌やウイルスなど様々な原因で起こり、気付かないうちに進行していきます。
よく水を飲む、毛ヅヤが悪い、体重減少、頻尿など症状が見られるようでしたら尿や血液の検査を行います。
また、尿路結石症も猫には多い病気です。急におしっこが出なくなったりしますので、トイレの回数や時間に異常が見られたらなるべく早く診療を受けてください。
消化器科

嘔吐や下痢、食欲不振などよく見られる症状ですが、特に季節の変わり目には多くなります。
このような症状は消化器の疾患に限らず様々な病気の初期症状としても見られます。
異物や腫瘍、肝・腎の疾患でも良く起こりますので詳しい検査が必要になることもあります。
原因を的確に診断することがとても大切になります。
歯科

なかなかブラッシングができずに徐々に歯石や歯垢がたまり、歯周病を引き起こします。
口臭は人間にとっても不快ですが、ペットにとっても心臓病や腎臓病などを引き起こす重大な疾患です。
定期的な口腔内のチェックと、超音波スケーラーによる歯石除去が必要となります。
全身麻酔をかけますので、事前の血液検査が必要となります。
歯石が気になりだしたら早めにご相談ください。

